Case # 1 - Elbow Pain in Gymnast
- Randon Hall, MD
- Jul 17, 2020
- 3 min read
Updated: Jul 31, 2020
Disclaimer: The following case is for education purposes only and does not depict any actual person or patient.
A 13-year-old Level 9 gymnast is being seen in sports medicine clinic for chronic right elbow pain for two years. She reports that the pain first started with weight-bearing activities such as tumbling passes and vault. The pain would improve with rest and routine care. Over time, the pain began to occur at rest causing her to be limited in gymnastics, at which point she presents to the clinic. She does not report any traumatic injury and no loss of range of motion of the elbow.
On physical exam, the patient has no swelling or deformity of the right elbow. She has full passive and active range of motion. She has no pain with valgus or varus stress of the elbow. There is no tenderness noted over the medial epicondyle or ulnar collateral ligament. She does report pain at the elbow with resisted extension of the wrist as well as the bony aspect of the lateral elbow.
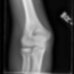
The next appropriate step in management is to obtain an elbow x-ray.

Clinical Approach
Is an MRI recommended?
Once the diagnosis is suspected on x-ray, it should be confirmed and further characterized with an MRI. The MRI can tell us more detail about the health of the overlying cartilage as well as the underlying bone.
What is the typical approach to osteochondritis dissecans of the capitellum?
Lower-grade injuries, where the overlying cartilage is still intact, are typically treated non-operatively, which involves 3-6 months of limited pounding activities. The first step involves restricting activity and possibly immobilization in order to control pain. In this case, I would limit all tumbling and upper-body weight-bearing activities including handstands and cartwheels. I would allow all lower body and core exercises including limited activity on beam and floor. In my experience, if successful, pain usually subsides within 6 weeks of rest from physical activity. I often will start the patient back to some physical therapy for the next 6 weeks, which would complete 3 months of rest. Usually, we will re-evaluate the x-ray in 6-8 weeks intervals to see if improvement has occurred. If the patient has had a resolution of pain after 3 months, we can gradually clear the athlete back to sports. Some providers will continue to monitor the lesion yearly until complete healing.
At what point would you consider surgery for this condition?
I would immediately consider surgical intervention if MRI shows high-grade cartilage damage or a piece of cartilage floating loose in the joint. If the patient was first treated non-operatively and pain has not completely resolved, younger patients may opt to wait another 2-3 months to see if it will heal. It is generally thought that as the growth plates close the potential for healing is decreased. Although the timeline is controversial, if radiographic healing is not seen or clinical healing is not appreciated surgical intervention may be recommended. There are multiple ways to treat osteochondritis dissecans depending upon the age of the patient and the grade of the lesion, which makes a standardized approach difficult to implement.
Clinical Pearls
In general, pediatric and adolescent patients with decreased passive or active range of motion of the elbow is unusual, especially without history of trauma.
Preference for initial x-ray evaluation is at least a 3 view elbow x-ray including AP, lateral, and external oblique.
The differential diagnosis of an adolescent patient with decreased range of motion of the elbow without trauma includes, but not limited to, articular cartilage defect, osteochondritis dissecans, Panner's disease, a loose body or rarely juvenile idiopathic arthritis.
Lateral epicondylitis is relatively rare in pre-adolescent and adolescent patients, therefore other diagnoses should be considered if suspected.