Case # 6 - Chronic Shoulder Pain in Football Linebacker
- Randon Hall, MD

- Aug 30, 2020
- 3 min read
Updated: Sep 24, 2020
Disclaimer: The following case is for education purposes only and does not depict any actual person or patient.
A 15-year-old male high school football linebacker reports anterior shoulder pain. He reports the injury occurred approximately 8 months ago when trying to make a tackle during football season. He had a shoulder to shoulder mechanism of injury. He did seek care at the time of the injury and was diagnosed with a grade 1 acromioclavicular sprain. After appropriate treatment, his pain resolved until approximately 3 months ago. He now reports pain with push-ups and bench press in the same area of his previous pain.
On physical exam, he has no noted deformity or step-off at the acromioclavicular (ac) joint. He has full abduction and forward flexion of the shoulder. In addition, he has full strength of the shoulder with rotator cuff muscle testing. He has pain with empty-can testing as well as a cross-body abduction test. It is also noted that he has point tenderness over the acromioclavicular joint
X-rays obtained at initial injury 8 months ago, reported as normal

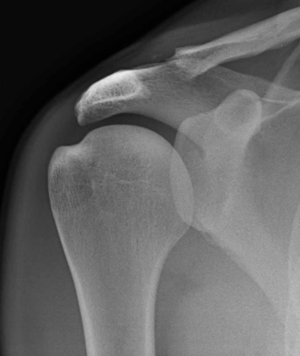
Currently, repeat x-rays were performed and show the diagnosis
Clinical Approach
What is the is pathophysiology behind this injury?
In the cases of distal clavicular osteolysis (DCO) that occur in athletes, the etiology is generally believed to be an overuse phenomenon that causes repetitive microtrauma leading to a destruction of the bone of the distal clavicle. Although rare, DCO can also develop over time secondary to previous trauma, such as an acromiocalvicular joint sprain, also known as a shoulder separation. Keep in mind, there are several other possibilities one should investigate when the symptoms cannot be attributed to underlying trauma, such as osteomyelitis or rheumatoid arthritis
What is the typical clinical case of distal clavicular osteolysis in adolescents?
The classic case of distal clavicular osteolysis typically occurs in a powerlifting athlete. Usually, the athlete has put an intense focus on weight training with an aggressive progression with benchpress. Generally, pain is directly over the AC joint and exacerbated by pulling the affected arm across one's body, which applies pressure to the AC joint.
What is the general treatment plan?
I will typically recommend the patient restrict or avoid the maneuvers that cause the pain, and ensure that their weight training techniques are appropriate. Physical therapy can be helpful, with a focus on reducing pectoral tightness and increasing shoulder range of motion. Lastly, I am aware of a case that was successfully treated with an ultrasound-guided corticosteroid injection into the acromioclavicular joint. I am not personally familiar with any cases in this population that have needed surgical intervention. However, distal clavicular resection is usually reserved for adults that do not respond to conservative treatment or are unwilling to restrict from activities that cause pain
Clinical Pearls
Radiographic findings suggestive of distal clavicular osteolysis include an eroded or worn appearance to the cortex of the bone.
In rare cases, distal clavicular osteolysis can occur secondary to a one-time AC joint sprain, rather than repetitive trauma.
The classic case associated with an adolescent with distal clavicular osteolysis is associated with powerlifting including heavy benchpress.
The general approach including avoidance of exacerbating movements as physical therapy typically can resolve symptoms.
Reference:
Schwarzkopf R, Ishak C, Elman M, Gelber J, Strauss DN, Jazrawi LM. Distal clavicular osteolysis: a review of the literature. Bull NYU Hosp Jt Dis. 2008;66(2):94-101.




Comments